0151 709 5454
45 Rodney St, Liverpool L1 9EW, United Kingdom
Mon, Tue, Wed: From 9:30AM to 5PM
Book an Appointment
Home
About
The practice
Team
Gum disease
Missing teeth
Crooked teeth
Blog / Patient Information
Treatments
REVO Perio – Laser Gum Treatment
REVO – Dental Implants
REVO Align
REVO Whitening
REVO Smile
Smile Gallery
Patient Referrals
Fees and Finance
Implant Smile Gallery
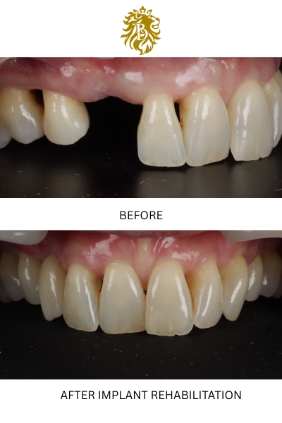
Implant Restoration: Single Tooth
Implant Restoration: Full Mouth
Dentalsite
Home
About
Toggle child menu
Expand
The practice
Team
Gum disease
Missing teeth
Crooked teeth
Blog / Patient Information
Treatments
Toggle child menu
Expand
REVO Perio – Laser Gum Treatment
REVO – Dental Implants
REVO Align
REVO Whitening
REVO Smile
Smile Gallery
Patient Referrals
Fees and Finance